Profesor Borshcheuski: „Zašto trošiti godine u liječenju zglobova, ako to može biti učinjeno u 3 sedmice!”
O doprinosu profesora Borschevsky na području liječenja bolesti zglobova, i kako možete dobiti jedinstveni lijek za njihov oporavak je gotovo besplatno - pročitajte ovaj članak
- Doktor medicinskih znanosti umro je 22. maja . u 90. godini života. Od 1959. godine, Alexander Borschevsky, 30 godina radio je kao hirurg u ortopedskom i traumatološkom odjelu Instituta za reumatologiju. Napisao je nekoliko članaka o alternativnoj medicini i mnogo godina posvetio istraživanjima u ovom području, u pokušaju da razvije PRIRODNI lijek koji može prodrijeti u zglobove i tkiva hrskavice kako bi ih vratio iznutra.
Glavni reumatolog Sergej Zvonarev, komentirao je situaciju. “Vrlo nam je teško prihvatiti činjenicu da više nema profesora. Što se tiče preparata - nismo mogli dopustiti da se njegov životni rad izgubi među dokumentima u arhivi. Stoga je odlučenodovršiti rad.
Glavni reumatolog Sergej Zvonarev, komentirao je situaciju. “Vrlo nam je teško prihvatiti činjenicu da više nema profesora. Što se tiče preparata - nismo mogli dopustiti da se njegov životni život izgubi među dokumentima u arhivi. Stoga je odlučeno dovršiti rad. Klinička ispitivanja dokazala su visoku učinkovitost Herbolo u liječenju zglobova: lijek može produžiti život osobama s reumatološkim bolestima najmanje 10 godina!
Dopisnik: "Sergej, možete li nam reći kako se Herbolo razlikuje od farmaceutskih pripravaka koji su već poznati ljudima?"
Sergej Zvonarev: Danas,kada se pacijentu dijagnosticiraju bolesti povezane s zglobovima, liječnici propisuju jedan od sljedećih lijekova:
|
|
|
Kao što možete vidjeti, bolesti zglobova često dovode do ozbiljnih komplikacija, koje uzrokuju invalidnost pacijenta ili čak smrt. Tijekom proteklih 100 godina, opterećenje ljudskog kostura značajno se povećalo. Kao rezultat toga, sada gotovosvaka 25-godišnja osoba već ima 1-2 zahvaćena zgloba. Do dobi od 35-40 godina, ako se ne liječi, vrlo je vjerojatno da će imati komplikacije.
Dopisnik: «Oprostite, nisam čuo? Da li doista dijelite ovaj čudotvorni preparat gotovo besplatno?»
Sergej Zvonarev: da,tako je. Organizirali smo fond za komemoraciju profesora Borshevskoga, dobili državno financiranje i pokrenuli program rehabilitacije. Ukupno, država je dodijelila više od 3.61 mil KM a 2.7 mil dodijelilo je komercijalnu pozadinu u Istraživačkiinstitut reumatologije. Što je najvažnije, lijek stvarno djeluje. Osobno sam kontrolirala klinička ispitivanja i mogu potvrditi njegovu učinkovitost.
Želim vas upoznati s rezultatima kliničkih ispitivanja Herbolo Iznenadili su mnoge liječnike. Pravospasenje za ljude čije zglobove treba liječiti.
|
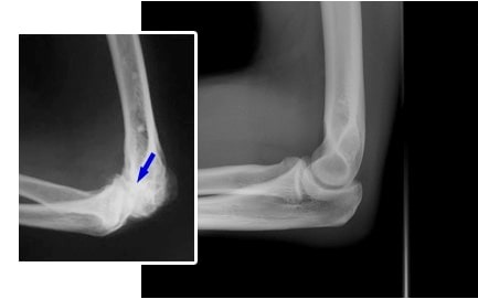
Liječenje zglobova lakta. Žena. 31 godina. Trajanje liječenja: 2 mjeseca. Hrskvica se potpuno oporavila:
Dopisnik: «Impresivno! Molim vas, recite mi što sve to znači za ljude koji su se već pomirili sa svojom bolešću?» Sergej Zvonarev
Prilikom prve upotrebe Herbolo izaziva reset sistema za oporavak. Gotovo ćete odmah osjetiti olakšanje, a nakon dva do tri tjedna liječenje će se završiti. Dopisnik: «Herbolo pomaže da biste se oslobodili od samo određene vrste boli ?»
Sergej Zvonarev Ne, obnavlja cirkulaciju krvi djelujući na staničnoj razini, teje stoga u stanju spasiti pacijenta od bilo koje bolesti mišićno-koštanog sustava: artritisa i artroze, osteoporoze, reumatizma, gihta, išijasa i osteohondroze, dislokacije kralježaka. U bilo kojoj fazi.
Dopisnik: «A mast je uistinu sposobna izliječiti sve te bolesti, a ne samo ublažiti bol?» Sergej Zvonarev Geli ublažava bol, i potpuno liječi bolest. Naravno, postoje i druga rješenja u medicini, ali oni obično ne mogu bez opasne kirurške intervencije. A oni su izuzetno skupi, tako da su dostupni samo malom brojuljudi. Sergej Zvonarev Postoji samo jedan “ali” - zbog malih količina proizvodnje,državni program djeluje selektivno. Stoga oni koji trebaju pripremu mogu ostaviti zahtjev i dobiti Herbolo s popustom. Sve što je potrebno je ostaviti svoje ime i broj telefona gdje će vas zaposleniku centru za pozive moći kontaktirati za dodatne pojedinosti. Sergej, Hvala na razgovoru! Želite li našim čitateljima reći nešto više prije nego se oprostimo? Sergej Zvonarev Mislimda. Želim skrenuti pozornost čitatelja na činjenicu da bolesti zglobova postaju "mlađe". Čak i rijetki, blagi boli mogu signalizirati postojanje problema koji treba odmah popraviti, ali ne može svakiliječnik ispravno pomoći. Kao što kažu, spašavanje utapanja je djelo samih utapanja. I zapamtite: bolesti mišićno-koštanog sustava, nisu samo nelagodnost. Oni lako mogu skratiti očekivani životni vijek za 15-20 godina. |
PAŽNJA! Zbog velikog broja narudžbi, proizvođač je bio prinuđen da ograniči uslove ove akcije. Trenutno, akcija traje do kraja sedmice.
Dodatak: Dostupno je još samo 83 pakovanja.







Sanja Arsić
Hvala na informacijama. Dugo vremena tražim nešto takvo. Veselimo se terapiji.
pre sat
Marija Ćeranić
Imala sam osteohondrozu, a sada sam zdrava ... Sve je prošlo za 10 dana! Hvala vam.
pre sat
Mirjana Pavković
Apsolutna istina. Ovo je vrlo korisna stvar za zglobove! Osteoartritis koljena više nema
pre sat
Mladen Popović
Sergej, hvala! Pokušao sam i bilo je mnogo bolje. Da vidimo što će se dogoditi za sedmicu dana. Prerano je govoriti o rezultatima, ali kasnije ću to sigurno učiniti. Upala je već prošla, ne osjećam bol. Mislim da će sve biti u redu!
pre sat
Velibor Dušanić
Mladene, i dalje primjenjivati Herbolo na područje bolnog zgloba slijedeći upute, i sve će biti u redu za sigurno!
pre sat
Igor Samardžija
Ljudi, pomozite! Već sam umoran od artritisa. Ti bolovi mi ne daju odmor. Povremeno koristim lijekove ali nemaju efekta. Moram ovaj gel da probam odmah
pre sat
Daliborka Radisavljević
Učinak Herbolo je vrlo jak i nema nuspojava. Zato naručite dok je akcija valjana. Pomogao mi je u potpunosti se riješiti išijasa.
pre sat
Jelena Tomić
Nevjerojatno koristan preparat, preporučujem ga svima, jer mi je pomogao da se riješim osteohondroze. Korisitm svaki dan, a nakon tjedan dana zaboravila sam na bol
pre sat
Dragan Vukić
Također ću ispričati svoju priču. Imao sam osteohondrozu u vratu. Toliko me boli da sam doslovno vikala na cijelu kuću. Počeo je tražiti liječenje i pronašao članak o Herbolo. Pa, ionako sam naručio, to je bio samo par eura sa popustom. Nakon pet dana, dobio sam preparat i počeo sam mazati vrat. Kako lijepo da sam ga tada naručio! Za dvije sedmice sve je prošlo! Dakle, momci, red, sigurno nećete požaliti
pre sat
Jelena Tomić
Rezultat je premašio očekivanja. Artritis je nestao nakon 6 dana! Čak sam naručila nekoliko paketa za svoje prijatelje;)
pre sat